審美歯科
- HOME
- 審美歯科
審美治療とは
当院の審美治療は、あなたの自信と素敵な笑顔を引き立てるための特別な歯科治療です。お口の中の歯の色や形に気になる点があれば、それを改善するための最新技術を駆使しています。
歯の形や色を理想通りに整えるための詰め物やセラミッククラウン、ベニアなどの審美治療も提供しています。これらの治療により、自然で美しい仕上がりを目指しています。ホワイトニング治療では、飲食習慣や年齢による変色を軽減し、白く輝く歯を取り戻す手助けをします。
当院では、技術の進歩と患者様の声に耳を傾け、安心して通院していただけるような環境を整えています。美しい歯は健康な歯でもあります。ぜひ、あなたの笑顔と歯の健康を大切にするために、審美治療について気軽にご相談ください。
セラミック治療
当院のセラミック治療は、天然歯に近い見た目と高い耐久性を備えた最新技術を駆使した歯科治療です。セラミッククラウンやベニアを使用し、美しく自然な歯を再現。優れた審美効果と快適な治療を提供します。
セラミック治療とは
セラミック治療は、様々な歯の状態に対応する革新的な歯科治療です。例えば、歯がむし歯や損傷で傷んでしまった場合や、歯の見た目に不満がある場合、セラミック治療が選択されることがあります。セラミックは金属を含まないため、自然な光沢と透明感を持ち、美しい見た目を実現します。
天然歯の形状や機能を回復させるために、セラミッククラウンやベニアが利用されます。また、入れ歯やブリッジの製作にもセラミックが使われ、天然歯に近い自然な見た目を実現します。治療は患者様の状態やご希望に基づいて個別に決定されます。
当院のセラミック治療
天然な美しさ
セラミッククラウンやベニアは、天然歯と同様の透明感や白さを再現。自然な笑顔を取り戻し、審美的に優れた結果を提供します。
高い耐久性
最新のセラミック技術は非常に頑丈で、長期間の使用に耐えます。患者様が安心して歯を使えるように工夫されています。
快適な治療
セラミック治療は歯の削り具合や装着感が少ないため、患者様にとって快適な治療となります。適切な調整が行われ、違和感なく装着できます。
トータルケアの提供
当院では患者様一人ひとりに合わせたトータルなケアを大切にしています。技術の進歩に敏感で、患者様の個別の要望や状態に合わせた治療を提供しています。
当院のセラミック治療は、歯科医学の最先端技術を駆使し、患者様が自信を持ち、心地よく笑顔を取り戻すお手伝いをします。
セラミックは非常に自然な光沢や透明感を持ち、金属の使用がないためアレルギーの心配がありません。治療の際には、患者様の歯を最小限に削ることで、歯の損傷を最小限に抑え、快適な装着感を提供します。
また、セラミックは耐久性に優れ、長期にわたって安定した効果を発揮します。適切な手入れと定期的なメンテナンスにより、美しい笑顔を持続させることが可能です。
当院では患者様のご要望や状態に合わせ、個別のトータルケアを提供しています。セラミック治療を通じて、自然で魅力的な笑顔を手に入れ、歯の健康と美しさを同時に実現しましょう。お気軽にご相談ください。
歯並びや歯の変色などの問題を解決し、審美的・機能的に優れ、まるで自分の歯のように自然に仕上がり、笑顔に自信を与えてくれます。
歯肉と被せた冠の縁に黒い金属が見える
歯が着色している
歯が抜けている
歯が折れている
歯と歯の間に隙間がある
・・・などのお悩みをお持ちの方は是非一度ご相談ください。
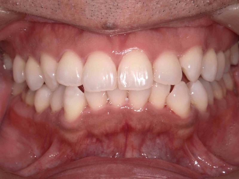
<症例1>歯並びをきれいにした例
| 治療内容 | 歯並びと変色が気になり来院され、上の前歯4本に、オールセラミックを装着して審美改善しました。 歯並びも綺麗になり満足されています。 |
|---|---|
| 治療期間・回数 | 3ヶ月 |
| 費用 ※自由診療となります。 |
総額 440,000万円(税込) |
| リスク | 保険がきかないため費用が高額になります。 |
<症例2>著しく崩壊した口腔状態を補綴処理によって修復した例
| 治療内容 | 長期間、虫歯を放置していたため食べ物が噛めなくなり、著しく崩壊した口腔状態で来院されました。 上下前臼歯をハイブリットセラミックで修復し見た目もよく、噛みやすくなったと満足されています。 |
|---|---|
| 治療期間・回数 | 1年 |
| 費用 ※自由診療となります。 |
総額 880,000円(税込) |
| リスク | 経年的に変色します。また、保険がきかないため高額になります。 |
<症例3>金属の詰め物を審美改善した例
| 治療内容 | 古い金属の詰め物で見た目が気になると来院され、詰め物を撤去し、下臼歯8本をハイブリットセラミックで審美改善しました。 |
|---|---|
| 治療期間・回数 | 6ヶ月 |
| 費用 ※自由診療となります。 |
総額 352,000円(税込) |
| リスク | 経年的に変色します。また、保険がきかないため高額になります。 |
<症例4>見た目の悪い被せ物を作りなおした例
| 治療内容 | 見た目の悪い被せ物が気になり治したいと来院されました。上の前歯6本にジルコニアを装着しで審美改善しました。 |
|---|---|
| 治療期間・回数 | 6ヶ月 |
| 費用 ※自由診療となります。 |
総額 792,000円(税込) |
| リスク | 保険がきかないため高額になります。 |
<症例5>歯の隙間をなくした例
| 治療内容 | 歯の隙間があり見た目をよくしたいと来院さました。上の前歯6本を、メタルボンドで審美改善しました。 |
|---|---|
| 治療期間・回数 | 6ヶ月 |
| 費用 ※自由診療となります。 |
総額 528,000円(税込) |
| リスク | 透明感が若干すくないです。また、保険がきかないため高額になります。 |
料金表
| イメージ | 素材 | 税込価格 (1本) |
長所 | 短所 |
|---|---|---|---|---|
|
ジルコニア | 143,000円 |
|
|
|
オールセラミック | 121,000円 |
|
|
|
メタルボンド | 99,000円 |
|
|
|
ハイブリッドセラミック | 55,000円 |
|
|
ホワイトニングについて
ホワイトニングは、歯の色を漂白し、より白く明るく見せる歯科治療や美容プロセスです。通常、歯の表面に付着した色素やくすみを取り除くことが目的です。主なホワイトニングの方法には、歯科医による専門治療(オフィスホワイトニング)や自宅で行う方法(ホームホワイトニング)があります。治療には特殊な薬剤や光を使用し、歯の色を改善します。ホワイトニングは効果的で一般的な美容歯科治療の一環として受けられます。
こんな人におすすめ
目立つところだけ白くしたい
歯を白くしたいけど削りたくない
芸能人みたいな美しい歯にしたい
歯の黄ばみがコンプレックスになっている方
ホワイトニングの種類
オフィスホワイトニング
オフィスホワイトニングとは、歯科医院で行う施術方法です。ご自宅で行うホームホワイトニングに比べて、より濃度の高い薬剤の使用が可能です。そのため、1回の施術でも、歯の白さを実感しやすくなります。
歯の表面に薬剤を塗布した後に、特殊な光を照射して歯の着色成分を分解していきます。オフィスホワイトニングは、ご自身の歯をできるだけ早く白くしたい方におすすめです。
ホームホワイトニング
ホームホワイトニングとは、患者様ご自身で取り組んでいただくホワイトニングです。ご自宅などにいながら、白い歯をめざせます。
歯科医院で専用のマウストレー(マウスピース)を作製後、ご自身でホワイトニングジェルを注入し、1日2時間程度の装着を約2週間程度続けると、歯の白さが引き出されていきます。歯の内部の着色成分も分解してくれるため、オフィスホワイトニングよりも歯の白さを維持しやすいといわれているのです。
当院の特徴
歯科医院でしかできない ホワイトニング
歯を白くするには表面の汚れを除去することに加えて、漂白が必要です。漂白に必要な専用の薬剤は、国家資格を持つ歯科医師・歯科衛生士が丁寧に扱い、色ムラの少ない白さのバランスを保ったホワイトニングをめざしております。
また、施術前にはお口の検査も行い、むし歯や歯周病がないかなどをチェックします。
患者様のご希望にあわせた施術
当クリニックではクリニック内で行うオフィスホワイトニングと、ご自宅で行うホームホワイトニングのご案内が可能です。ご自身のライフスタイルや希望する歯の白さに合わせながら、適切な施術プランをご案内いたします。
しみにくい、痛みが少ない ホワイトニング
ホワイトニング後は歯や歯茎の痛みなど、知覚過敏に近い症状が出る可能性があります。当クリニックでは、特殊な薬剤を用いて過酸化水素の濃度を抑え、効果を維持しながら痛みを少なくしたホワイトニングが可能です。また、ホワイトニングにより、歯茎の活性化も期待できます。
当院ではホームホワイトニングを取り扱っております
メリット・デメリット
メリット
自宅で簡単に行える
後戻りしにくい
歯の痛みがほとんどない
費用が抑えられる
通院する時間がない人でもホワイトニングができる
デメリット
人によって知覚過敏が生じる
STEP01
カウンセリング
歯科医師との初回の相談で、希望する歯の白さや健康状態を確認し、適切な治療法を選択します。
STEP02
診察
現在の歯の色を診断し、歯周病がないかどうかをチェックします。歯茎に炎症があり、歯周病が疑われる場合は、ホワイトニングではなく治療を優先して行う必要があります。
STEP03
カスタムトレーの作成
カスタムトレーを作製するために型取りします。つけ心地のよさをめざし、精密な型取りを心がけております。
STEP04
トレー・ホワイトニングジェルのお渡し
型取り後、数日~1週間程度で、カスタムトレーとホワイトニングジェルをお渡しいたします。
STEP05
ご自宅でホワイトニング
ホワイトニングジェルは、ご自身でマウストレーに注入してください。日中や寝る前など、お時間があるタイミングで最低でも2時間程度は装着していただき、毎日継続して取り組みましょう。
STEP06
定期的に確認
ホワイトニング開始から約2週間後を目処にご来院ください。歯の白さやカスタムトレーに歪みがないかなどをチェックします。
デントレードホワイトニング
矯正中にできるホワイトニング「デントレードホワイトニング」
矯正治療中にホワイトニングを行えるかどうかは、多くの方が気にされるポイントです。特に、取り外しが簡単なマウスピースを使用した矯正治療では、ホワイトニングの制限が少ないことが魅力です。
では、矯正中に適したホワイトニング方法とはどのようなものでしょうか?
かどわき歯科クリニックでは、歯科医院で行うオフィスホワイトニングだけでなく、自宅で行える「デントレードホワイトニング」をおすすめしています。この方法では、マウスピースを装着して寝ている間にホワイトニング剤を使って、手軽にホワイトニングが可能です。
このアプローチなら、日常生活に支障をきたすことなく、白く美しい歯を目指せます。
デントレードホワイトニングの流れ
歯科医院での準備
STEP01
まずは、歯科医師が口腔内の状態を確認し、ホワイトニングが可能かどうかを判断します。虫歯がある場合は、先に治療を行うことがあります。
STEP02
次に、歯の表面の汚れや歯石をクリーニングします。
STEP03
通常、ホームホワイトニング用のマウストレーを作成するために歯型を取りますが、デントレードホワイトニングでは既存の矯正用マウスピースをそのまま使用できるため、新たな型取りは不要です。
STEP04
ホワイトニングの手順や注意事項についての説明を受けます。
現在の歯の色を記録し、ホワイトニング後の変化を確認できるようにします。
自宅でのホワイトニング手順
STEP01
ホワイトニングを始める前に、歯をしっかりと磨きます。
STEP02
矯正用のマウスピースにホワイトニングジェルを適量入れ、寝る前や休息時に装着します。
STEP03
1回の装着時間は約5~8時間で、この手順を1~2週間続けます。多くの方が、1週間程度で歯が白くなってきたと感じるでしょう。
STEP04
使用後は、マウスピースをしっかりと水洗いし、清潔に保管します。
かどわき歯科クリニックの「デントレードホワイトニング」は、矯正治療中でも安心して行えるホワイトニング方法です。
ぜひ、健康的で美しい笑顔を手に入れてください。
ホワイトニングとは、特殊な薬を使って歯を白くする治療のことです。現在、当院で使用している漂白剤は、「DENTRADE」です。
ホワイトニングは、歯科医院で処置を行う『オフィスホワイトニング』と、自宅で処置を行う『ホームホワイトニング』の2種類があり、当院では『ホームホワイトニング』を採用しています。ご自宅に居ながらにしてでき、歯科医院には、写真による判定とチェックに来ていただくだけの簡便な方法です
<症例>
<症例1>10歳代 女性
<症例2>40歳代 女性
<症例3>40歳代 女性
<症例4>20歳代 女性 (上の前歯2本の歯並びを治してホワイトニングした例)
<症例5>40歳代 男性
費用
ホワイトニング治療は保険外の自費となります。治療期間は上下顎4週間が目安となります。
- 上下どちらか ¥18,000(税込み)
- 上下共 ¥35,000(税込み)
漂白に使用する薬剤・器具を全て含んだ金額です。
※個人差はありますが、何年か経過後、色の後戻りが起きたときは、追加の漂白ジェル(2本 ¥5,250(税込み))のみ購入できます。
