包括治療
- HOME
- 包括治療
包括治療とは
包括治療は、個々の歯だけでなく、お口全体を見る治療法です。虫歯や歯周病が発生する背景には必ず原因があります。その原因を見つけ出し、根本から解決することなくしては、再発を防ぐことは難しいです。
当院では、単に虫歯や歯周病を治療するだけでなく、「なぜ虫歯になったのか?」「なぜ歯周病にかかったのか?」という根本的な原因を追求し、口腔内全体から治療を考えています。
いつまでも健康で美しく
調和のとれたお口を
かどわき歯科クリニックは、包括治療を提供する歯科医院です。
当院では、患者様が生涯にわたり健康で美しく、調和のとれた口元で充実した人生を送るために、精密な歯科治療を基本とした様々な治療を組み合わせた総合歯科診療をご提案しています。虫歯治療、審美歯科治療、歯周病治療、矯正治療、インプラント治療など、幅広い治療を行い、患者様のニーズに合ったケアを心がけています。
しかしながら、包括治療を行うには最新の院内設備や機器、確かな技術、そして豊富な経験が必要です。そのため、かどわき歯科クリニックでは、経験豊富な歯科医師と歯科衛生士がチームを組み、患者様に最高水準の治療を提供することを目指しています。
各治療を一貫して提供し、患者様の治療プランを一箇所で完結させることができるのが、かどわき歯科クリニックの特長です。
包括治療症例はこちら
歯科医院選びの大切さ
患者様が求める「良医」とは何でしょうか。一般的には「早い」「安い」「上手い」という要素が挙げられるかもしれませんが、それだけでは本当の良い歯科医院や歯医者を見分けることはできません。
私たち歯科医師が考える「良医」の条件は、的確な診断と治療を行うこと、そして患者様に正確な情報を提供することです。これが歯科医院や歯科医師の真の価値だと考えています。
治療が難しい場合は、大学病院や他の歯科医院への紹介も行います。歯を守るために無理な治療は行いません。
かどわき歯科クリニックでは、院長をはじめとするスタッフ全員が常に学び続け、患者様に最適な治療を提供できるよう努めています。学会や勉強会への積極的な参加を通じて、技術や知識の向上に努めています。
包括治療
歯槽膿漏で歯が無くなった。歯を抜いて入れ歯を入れている。
物がかみにくい。虫歯が数多くある。などの症状がある方、ご相談下さい。
顎、筋肉、歯の調和を考え、全顎的に治療を行っています。咬合器という機械に口の模型を装着した上で、どの様に治療を進めていくか、患者様とじっくり話し合います。
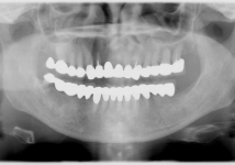
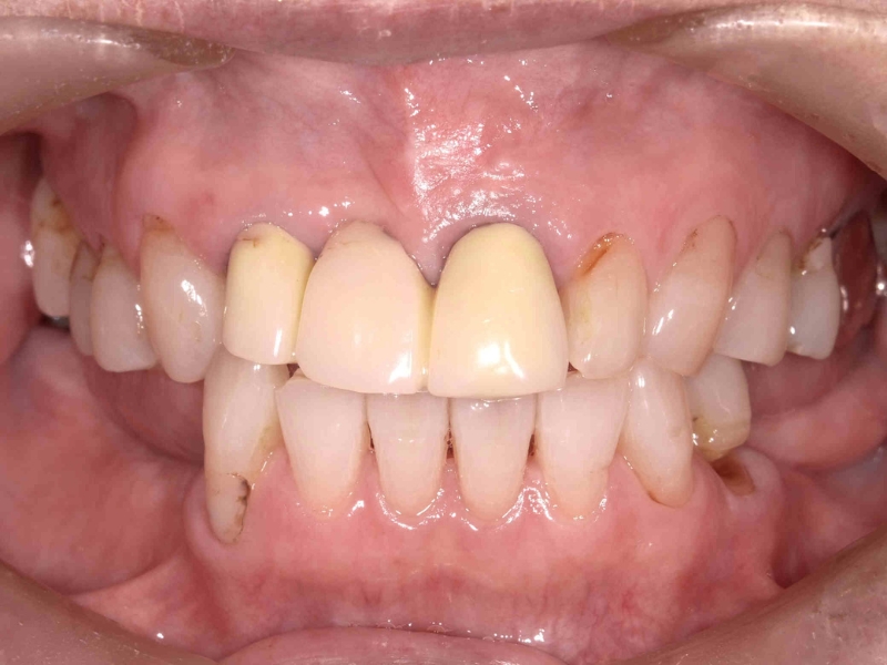
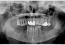
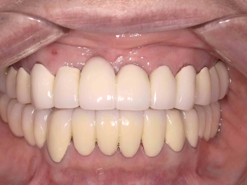
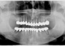
<症例1>40歳代 男性
歯周病によって失った歯を、歯周再生治療、矯正治療、インプラント治療、審美補綴治療によって、トータルコーディネートしました。
正面
レントゲン写真
<症例2>60歳代 男性
長年放置したために歯周病が進行し噛みにくくなった患者様が、インプラントを入れ全顎的な治療を行い、審美改善しました。
正面
レントゲン写真
<症例3>30歳代 女性
歯科治療への恐怖心から長い間放置されていた患者様が、口腔内の清掃状態悪くなり、腫れや痛みが出て当院を受診され、除菌とブラッシング指導を受け、歯石除去をすることにより、歯肉の炎症が治まり、全顎的に治療を行いました。仮歯で患者様の満足度を確認し、審美改善して最終仕上げをしました。
正面
<症例4>50歳代 女性
別の歯科医院さんで、入れ歯をすすめられたが、見た目も良くないし、噛みにくいということで、当院を受診されました。歯周病によって失った歯を、歯周再生治療と、審美補綴治療によってトータルコーディネートをしました。今は、見た目も良く、入れ歯にせずに済んだと喜んでいただいています。
正面
レントゲン写真
<症例5>80歳代 女性
もともと入っていた入れ歯が噛みにくく、見た目も悪いとのことで当院を受診されました。歯周病で失った歯を、歯周再生治療と審美補綴治療によってトータルコーディネートしました。今では、よく噛めるし、見た目も良いと満足していただいています。
正面
レントゲン写真
<症例6>60歳代 男性
長年放置していたために、「噛みにくく見た目も悪い」との事で当院を受診されました。
歯周病で失った歯を、歯周再生治療、インプラント治療、審美補綴治療によってトータルコーディネートしました。今では「よく噛めて見た目も良い」と満足されています。
正面
レントゲン写真
<症例7>30歳代 男性
長年、放置していた患者様が「しっかり噛めるようになりたい」と、当院を受診されました。歯周病で失った歯を、歯周再生治療と、審美補綴治療によってトータルコーディネートをしました。治療後は、よく噛めて見た目も良いと満足していただいています。
正面
レントゲン写真
<症例8>50歳代 女性
義歯が入っていたが、調子が悪く噛みにくいので、当院を受診されました。
歯周再生治療と、審美補綴治療によってトータルコーディネートをしました。治療後は、よく噛めて見た目も良いと満足していただいています。
正面
レントゲン写真
<症例9>50歳代 男性
タバコのヤニで見た目が悪く、奥歯も噛みにくいということで受診され、審美補綴治療によってトータルコーディネートしました。
治療後は、ヤニの無いきれいな歯になり、しっかり噛めて満足されています。
正面
レントゲン写真
<症例10>60歳代 女性
両方の奥歯を失ったため噛みにくく、見た目が気になるとのことで受診されました。
歯周病で失った歯を、歯周再生治療・審美補綴治療によってトータルコーディネートしました。今では、よく噛めて見た目も良いと満足されています。
正面
レントゲン写真
<症例11>60歳代 女性
奥歯に入れ歯が入っていて、噛みにくいということで受診されました。歯周再生治療と審美補綴治療によってトータルコーディネートしました。今では、よく噛めて、見た目も良くなったと満足されています。
正面
レントゲン写真
<症例12>40歳代 女性
両奥歯が崩壊し、前歯の脱離が起きやすく噛みにくいということで来院されました。
歯周再生治療と、審美補綴治療によってトータルコーディネートをしました。
治療後は、「見た目も綺麗で、噛みやすくなった」と満足されています。
正面
レントゲン写真
<症例13>50歳代 女性
左奥歯がぐらついて噛みにくいと来院され、歯周再生治療と、審美補綴治療によってトータルコーディネートをしました。
治療後は、「見た目も綺麗で、噛みやすくなった」と満足されています。
正面
レントゲン写真
<症例14>60歳代 男性
両方の奥歯が噛みにくく、しっかり噛めるようにしたいということで受診されました。
歯周再生治療と審美補綴治療によってトータルコーディネートしました。
今ではしっかり噛めて見た目もよいと満足されています。
正面
レントゲン写真
<症例15>50歳代 男性
虫歯と歯周病が進行し、歯が動揺して噛みにくいということで受診されました。
歯周再生治療と審美補綴治療によってトータルコーディネートしました。
今では虫歯も治り、しっかり噛めるようになったと満足されています。
正面
レントゲン写真
<症例16>60歳代 男性
歯周病が進行し、両奥歯が噛みにくく見た目も悪いということで受診されました。
歯周再生治療と審美補綴治療によってトータルコーディネートしました。
今ではしっかり噛めるようになり、見た目も良くなったと満足されています。
正面
レントゲン写真
<症例17>60歳代 女性
上下の義歯が痛く噛みにくく、見た目も悪いということで受診されました。歯周再生治療と審美補綴治療によってトータルコーディネートしました。今ではしっかり噛めるようになり、見た目も良くなったと満足されています。
正面
レントゲン写真
<症例18>50歳代 女性
歯周病が進行し、下の両奥歯が痛みがあり噛みにくく、出っ歯も気になるということで受診されました。歯周再生治療と審美補綴治療によってトータルコーディネートしました。今ではしっかり噛めるようになり、見た目も良くなったと満足されています。
正面
レントゲン写真
<症例19>50歳代 男性
歯周病のため両奥歯が噛みにくくなり前歯の虫歯が気になり受診されました。歯周再生治療と審美補綴治療によってトータルコーディネートしました。今ではしっかり噛めるようになり、見た目も良くなったと満足されています。
正面
レントゲン写真
<症例20>60歳代 男性
歯周病で両奥歯を失い、前歯の補綴物がよく壊れて噛み難くなったため受診されました。歯周再生治療と審美補綴治療によってトータルコーディネートしました。今ではしっかり噛めるようになり、見た目も良くなったと満足されています。
正面
レントゲン写真
<症例21>70歳代 女性
両奥歯が噛み難いということで受診されました。義歯がいやとの事で、歯周再生治療と審美補綴治療によってトータルコーディネートしました。今ではしっかり噛めるようになり、見た目も良くなったと満足されています。
正面
レントゲン写真
<症例22>60歳代 男性
長年放置したために歯周病が進行し噛みにくくなった患者様が、インプラントを入れ全顎的な治療を行い審美改善しました。今はよく噛めるようになったと喜んでいらっしゃいます。
正面
レントゲン写真
<症例23>70歳代 女性
義歯が噛み難く見た目も悪いとのことで受診されました。
歯周再生治療と審美補綴治療によってトータルコーディネートしました。
今ではしっかり噛めるようになり、見た目も良くなったと満足されています。
正面
レントゲン写真
<症例24>50歳代 男性
長年放置していたために下顎両奥を失い、ますます下顎前突になり、噛み難いため受診されました。 歯周再生治療と、審美補綴治療によってトータルコーディネートをしました。 今では、よく噛めるし、見た目も良いと満足していただいています。
正面
レントゲン写真
<症例25>50歳代 女性
もともと義歯が入っていたが、噛み合わせが悪く見た目もよくないために、当院を受診され、歯周再生治療と審美補綴治療によってトータルコーディネートをしました。
今は、見た目も良くなりよく噛めると喜んでいただいております。
正面
レントゲン写真
<症例26>60歳代 女性
長年放置したために歯周病が進行し、尚且つ入れ歯が噛みにくくなったと受診され、両サイドの奥にインプラントを入れ全顎的な治療を行い審美改善しました。
今は見た目もよくなり、よく噛めるようになったと喜んでいらっしゃいます。
正面
レントゲン写真
<症例27>50歳代 女性
もともと不適合な義歯が入っていて、歯周病が進行し、噛み合わせが悪く見た目もよくないために、当院を受診され、歯周再生治療と、審美補綴治療によってトータルコーディネートをしました。今は、見た目も良くなりよく噛めると喜んでいただいております。
正面
レントゲン写真
<症例28>50歳代 男性
長年、カリエスを放置していたために、噛み合わせが悪く、食事がしにくいということで、当院を受診され、歯周再生治療と、審美補綴治療によってトータルコーディネートをしました。今は、噛み合わせも良くなり、見た目もきれいで、よく噛めると喜んでいただいております。
正面
レントゲン写真
<症例29>50歳代 女性
カリエスが多く、歯周病が進行し、硬いものが噛みにくいと、当院を受診され、歯周再生治療と、審美補綴治療によってトータルコーディネートをしました。今は、歯周病も改善し、痛みもなく、よく噛めると喜んでいただいております。
正面
レントゲン写真
<症例30>60歳代 男性
他の歯科医院で定期健診や清掃を受けてこられましたが、 最近噛みにくくなり、見た目も気になるとのことで当院を受診され、 歯周再生治療と、審美補綴治療によってトータルコーディネートをしました。 今は、見た目もよくなり、よく噛めると喜んでいただいております。
正面
レントゲン写真
<症例31>60歳代 男性
見た目も悪く噛みにくく、被せ物が脱離して、破損するということで受診されました。 歯周病によって失った歯を歯周再生治療と審美補綴治療によってトータルコーディネートしました。 今は見た目もよく噛みやすくなったと喜んでいただいています。
正面
レントゲン写真
<症例32>60歳代 男性
長年放置していたため虫歯と歯周病が進行し、噛みにくくなったということで受診されました。 2年かけて歯周病で失った歯を、歯周再生治療と審美補綴治療によって トータルコーディネートしました。 今では、よく噛めるし、見た目も良いということで 満足していただいています。
正面
レントゲン写真
<症例33>60歳代 女性
見た目も悪く、噛みにくいということで、 当院を受診され、歯周病によって失った歯を、 歯周再生治療と、審美補綴治療によって トータルコーディネートをしました。 今は、見た目も良くなり噛みやすくなったと喜んでいただいています。
正面
レントゲン写真
<症例34>30歳代 女性
長年虫歯を放置していたために歯を失い、噛みにくく見た目も気になるということで受診されました。 歯周再生治療と、審美補綴治療によってトータルコーディネートをしました。 今は、見た目も良くなり噛みやすくなったと喜んでいただいています。
正面
レントゲン写真
<症例35>60歳代 女性
カリエスが多く、左上奥歯を失ったため噛み難いということで受診されました。 歯周再生治療と、審美補綴治療によってトータルコーディネートをしました。 今は、見た目も良くなり噛みやすくなったと喜んでいただいています。
正面
レントゲン写真
<症例36>50歳代 女性
左下の入れ歯が合わなくて噛みにくいということで受診されました。 歯周病によって失った歯を、歯周再生治療と、審美補綴治療によってトータルコーディネートをしました。 今は、見た目も良くなり、噛み易くなったと喜んでいただいています。
正面
レントゲン写真
<症例37>50歳代 女性
長期間虫歯を放置していたため、しっかり噛むことができず、見た目も悪いということで受診されました。 審美補綴治療によってトータルコーディネートをしました。 今は、見た目も良くなり、よく噛めるようになったと喜んでいただいています。
正面
レントゲン写真
<症例38>60歳代 女性
別の歯科医院さんで、歯周治療を受けていらっしゃいましたが、しっかり噛めないということで当院を受診され、歯周病によって失った歯を、歯周再生治療と、審美補綴治療によってトータルコーディネートをしました。今は、見た目も良くなり、しっかり噛めると喜んでいただいています。
正面
レントゲン写真
<症例39>80歳代 男性
長年虫歯を放置していたために歯を失い、噛みにくく見た目も気になるということで受診されました。 歯周再生治療と、審美補綴治療によってトータルコーディネートをしました。 今は、見た目も良くなり噛みやすくなったと喜んでいただいています。
正面
レントゲン写真
<症例40>50歳代 男性
歯周病によって歯を失い、見た目も悪く噛み難いということで受診されました。 歯周再生治療と、審美補綴治療によってトータルコーディネートをしました。 今は、見た目も良くなり、よく噛めるようになったと喜んでいただいています。
正面
レントゲン写真
<症例41>60歳代 女性
被せ物の脱離が起きやすくなり噛みにくく、見た目も気になるということで受診されました。 歯周再生治療と審美補綴治療によって、トータルコーディネートをしました。 今は、見た目も良くなり、噛みやすくなったということで、喜んでいただいています。
正面
レントゲン写真
<症例42>60歳代 女性
長年放置していたために、「噛みにくく見た目も悪い」との事で当院を受診されました。歯周病で失った歯を、歯周再生治療、審美補綴治療によってトータルコーディネートしました。今では「よく噛めて見た目も良い」と満足されています。
正面
レントゲン写真
<症例43>60歳代 男性
もともと入れ歯を入れておられ、 重度の歯周病のため歯がぐらつき、噛みにくくなり、来院されました。 歯周病によって失った歯を、歯周再生治療と、審美補綴治療によってトータルコーディネートをしました。今は、見た目も良くなり、入れ歯にせずに済み、噛みやすくなったと喜んでいただいています。
正面
レントゲン写真
<症例44>70歳代 女性
歯周病によって歯を失い、見た目も悪く噛み難いということで受診されました。 歯周再生治療と、審美補綴治療によってトータルコーディネートをしました。 今は、見た目も良くなり、よく噛めるようになったと喜んでいただいています。
正面
レントゲン写真
<症例45>70歳代 男性
もともと入れ歯を入れておられ、重度の歯周病のため歯がぐらつき、噛みにくくなり、見た目も気になり来院されました。 歯周病によって失った歯を、歯周再生治療と、審美補綴治療によってトータルコーディネートをしました。 今は、見た目も良くなり、入れ歯にせずに済み、噛みやすくなったと喜んでいただいています。
正面
レントゲン写真
<症例46>50歳代 女性
長年、カリエスを放置していたために、噛み合わせが悪く、食事がしにくいということで、当院を受診され、歯周再生治療と、審美補綴治療によってトータルコーディネートをしました。今は、噛み合わせも良くなり、見た目もきれいで、よく噛めると喜んでいただいております。
正面
レントゲン写真
<症例47>60歳代 女性
見た目、噛み合わせが悪くなり、食事がしにくいということで、当院を受診され、歯周再生治療と、審美補綴治療によってトータルコーディネートをしました。今は、噛み合わせも良くなり、見た目もきれいで、よく噛めると喜んでいただいております。
正面
レントゲン写真
<症例48>70歳代 女性
下顎両臼歯部に義歯が入っていたが、調子が悪く噛みにくいので、当院を受診されました。歯周再生治療と、審美補綴治療によってトータルコーディネートをしました。治療後は、よく噛めて見た目も良いと満足していただいています。
正面
レントゲン写真
